Prikaz slučaja
Krunice/mostovi na prirodnim zubima
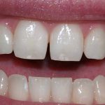
Izrada pojedinačnih staklo keramičkih krunica u obje čeljusti
Trajanje terapije: 4 tjedna
Pacijent dolazi u ordinaciju zbog funkcijskih i estetskih problema koje ima zbog potrošenosti zubnih struktura. Odlučili smo se za potpunu estetsko protetsku rehabilitaciju obje čeljusti. Izradili smo staklo keramičke pojedinačne krunice u obje čeljusti.


Ciljevi
terapije
Cilj terapije bio je vratiti primarno estetiku, a zatim i funkciju osmijeha, bez narušavanja prirodnosti. Izradom pojedinačnih staklokeramičkih krunica u gornjoj i donjoj čeljusti postigli smo rezultat koji zadržava autentičnost osmijeha – zubi djeluju kao njegovi vlastiti, s pažljivo pogođenom bojom, teksturom i morfologijom.



